Restoration
To restore Decay toothA cavity or tooth decay occurs when the enamel or dentin de-mineralised and infected with bacteria. The infected and de-mineralised part of the tooth/teeth is removed and the space is restored with filling material.
Types of Restoration
Amalgam Restorations
Composite Restorations
Glass Ionomer Restorations
Indirect Restorations
Amalgam Restorations
Dental amalgam is the most researched and tested restorative material among all in use.
Positives of Amalgam Restorations :
It is durable.
Easy to use.
Highly resistant to wear and tear.
Can withstand very high chewing loads.
Disadvantages of Amalgam Restorations :
There could be some short-term sensitivity to heat or cold after the filling is done.
It is silver coloured and does not look natural.
The dentist may need to remove more tooth structure to accommodate an amalgam filling
when compared to other types.
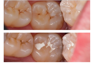
Composite Restorations
Composite fillings are durable and are fracture-resistant.
Recommended in small and mid-size restorations in teeth that handle moderate chewing pressure.
Less tooth structure is removed during preparation, resulting in a smaller filling than that of an amalgam.
Composites can also be "bonded" or adhesively held in a cavity, which allows the dentist to
make a more conservative repair to the tooth.
Glass Ionomer Restorations
Glass ionomers are translucent, tooth-coloured material which are primarily used in teeth
that are not subject to heavy chewing pressure, as they have a low resistance to fracture.They are mainly used in small non-load bearing fillings or on the roots of teeth.
Glass ionomers release a small amount of fluoride, which is beneficial to patients at risk of decay.
Indirect Restorations
Sometimes the best dental treatment for a tooth is a restoration made in a lab from a mould.
These custom-made restorations require two or more visits.
Materials used to fabricate these restorations are metal and ceramic.
The strength of this type of restoration depends on an adequate thickness of ceramic
and the ability to be bonded to the underlying tooth.They are highly resistant to wear and tear.

