Impaction
Wisdom Tooth RemovalDigital X-Ray
Allows instant x-ray which the patient can immediately see on the screen.
Gives out less radiation when compared to conventional x-ray.
Less time-consuming.
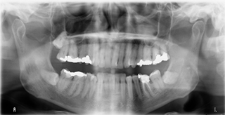
OPG
Gives a complete image of all the teeth and jaw bones.
Hence facilitates better diagnosis.
CBCT
Gives 3 Dimensional view of both bone structure and teeth.
Helps in diagnosis, Treatment planning for Implant, Orthodontic Treatment and Impacted teeth removal.
