Laser Dentistry
Dental Care with a Gentle TouchLaser Dentistry
Painless, minimal invasive procedures.
Suture not required.
Reduced need for post-operative antibiotics and painkillers.
Reduced post-operative swelling and discomfort.
Quicker recovery.
Laser Teeth Whitening
Teeth whitening with lasers leads to less sensitivity when compared to the conventional methods.
Laser Assisted Root Canal Treatment
Highest level of Root canal disinfection is achieved with lasers.
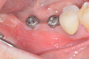
Laser Uncovery of Implants
Painless, minimal invasive procedures used to uncover an implant for impressions.
Reducing sensitivity of teeth (Laser desensitization)
When multiple teeth are sensitive due to gum recession or excess enamel wear, dental laser can significantly reduce the sensitivity.
Growth Removal
Painless removal of small growths in the mouth.
Treatment of Apthous Ulcer
Reducing Pain in an ulcer by disinfecting it and coating it with laser.
Laser de-pigmentation
Lightening of dark gums.
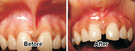
Laser frenectomy
To remove frenal attachment between the lip and teeth.
Laser Gingivectomy
Reduction of Excess Gums/Gummy smile treatment.
Operculectomy
Surgical removal of the operculum, a flap of tissue over a partially erupted tooth, particularly a third molar region.
Tongue Tie
Tongue-tie is a string of short tissue which attaches your baby tongue to the floor of the mouth. If your baby has tongue-tie, her tongue can't move freely. If your child has difficulty with breast feeding get a dental check-up.
Exposure of Unerupted Teeth
Impacted teeth are simply those that cannot properly erupt into the mouth. Gums covering the unerupted tooth will be lifted up by laser to expose the hidden tooth underneath.
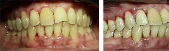
LANAP - Laser Periodontal Therapy
Laser Periodontal Therapy is an amazing breakthrough in periodontal treatments.
A great alternative to the conventional gum surgery.
A tiny laser fiber is inserted between the tooth and the gum and the infection is cleared away.
