Dental Implants
Artificial tooth with rootThere is nothing better than a healthy set of natural teeth. But if you have missing teeth and want a solution that is as close to your natural teeth, dental implants are the modern day best option for you.
Some reasons for opting for implants :
Missing teeth in general :
May create psychological and emotional disturbance, since it may affect your self – steem and confidence.
May affect the clarity of your speech.
May affect your appearance. May cause your facial muscles to sag, resulting in an old, worn - out look.
Missing one or more back teeth affects chewing. The biting force on the remaining teeth begins to change, to compensate for the lost tooth. This leads to weakening of the other teeth.
Teeth surrounding the missing tooth may also start to shift from their position. Over time, there is plaque and tartar accumulation, which causes gum diseases and weaken remaining teeth.
Artificial tooth roots are :
The best available substitute for missing teeth. These substitutes are called Implants.
Implants are surgically placed in the upper or lower jaws.
These implants function as a sturdy anchor for replaced teeth.
Made of Titanium.
Made of Titanium.
Titanium is readily accepted by the human body.
Key Attributes of Implants
Reduction of adjacent teeth is not needed.
Titanium is a very strong material that is biocompatible and naturally accepted by the body.
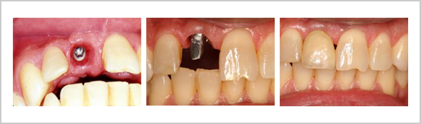
Single Dental Implants
Dental Implant is placed in the jaw bone.
The abutment is connected to the dental implant.
Beautiful restored dental implant tooth can be obtained.
Implant Bridge
An implant-supported bridge is similar to a regular dental bridge, but it is supported by implants and not by natural teeth.
An implant-supported bridge is used when more than one tooth is missing.
In most cases, when an implant-supported bridge is used, one implant is placed in the jawbone for each missing tooth. Then the crowns are connected to each other to form one piece.
Implants Securing a Denture
Implants are also an excellent option to stabilize a loose denture.
A special attachment is placed in the underside of the full denture or partial denture so that it can snap onto the implant, stabilizing the denture.
Do's
Oral hygiene maintenance is important for long term success of the treatment.
Success of treatment for diabetic patient depends on their blood sugar level.
Dont's
Quit Smoking.
Don't rush the recovery process. After implant placement it needs time to heal.
